무릎 관절염으로 인해 심한 통증과 변형을 겪고 계신가요? 근위경골절골술이 당신의 무릎 건강을 되찾아줄 수 있습니다. 이 글에서는 근위경골절골술의 유형, 장점, 위험, 회복 과정, 그리고 수술 후 재활 시 도움이 되는 운동법에 대해 자세히 알아보겠습니다. 그리고 제가 수술하고 경험한 부분을 첨삭해서 말씀드리겠습니다.

근위경골절골술이란 무엇인가요?
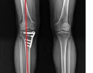
근위경골절골술은 무릎 안쪽 뼈인 근위경골이 골절되었을 때 뼈를 다시 정렬하고 고정하기 위한 수술입니다.
주로 무릎 관절염으로 인한 통증과 변형을 완화하기 위해 시행됩니다.
※저의 경우 연골이 완전히 마모되어서 오른쪽 무릎이 한쪽으로 기울어지며 다리에 변형이 오고, 다리 길이가 달라져서 다리를 절어서 하게 되었습니다.
근위경골절골술의 유형
근위경골절골술에는 두 가지 주요 유형이 있습니다:
고정술: 금속판과 나사를 사용하여 골절된 뼈를 고정하는 방법입니다.
절골술: 골절된 뼈의 일부를 절단하고 제거하거나 삽입한 다음 나머지 뼈를 고정하는 방법입니다.


근위경골절골술이 적합한지 어떻게 알 수 있나요?
무릎 관절염으로 인한 심한 통증과 변형이 있는 경우, 근위경골절골술이 적합할 수 있습니다. 병원에 가면 의사는 검사, X-ray 및 MRI를 통해 뼈의 상태를 평가하고 수술이 적합한지 여부를 결정하게 됩니다.
근위경골절골술의 장점
근위경골절골술은 여러 가지 면에서 무릎 건강에 도움이 됩니다:
통증 완화: 지속적인 통증에서 벗어날 수 있습니다.
무릎 기능 개선: 일상생활의 활동이 더욱 수월해집니다.
관절 운동 범위 향상: 무릎의 움직임이 원활해집니다.
무릎 변형 감소: 무릎의 비정상적인 변형이 줄어듭니다.
근위경골절골술의 위험
모든 수술에는 위험이 따르기 마련입니다. 근위경골절골술도 예외는 아닙니다. 다음은 흔하게 나타나는 위험과 흔하진 않지만 적은 확률로 나타나는 위험에 대한 설명입니다
흔한 위험
감염: 수술 후 감염은 발열, 붉어짐, 붓기, 고름 등의 증상을 유발할 수 있습니다. 심각한 경우 감염이 뼈로 퍼질 수 있으며 추가적인 수술이 필요할 수 있습니다.
출혈: 수술 후 출혈이 발생할 수 있으며, 대부분 경미하지만 드물게 심각한 출혈이 생길 수 있습니다. 심각한 출혈의 증상에는 호흡곤란, 어지러움, 극심한 붓기 등이 있습니다.
통증: 수술 후 통증은 정상적이지만, 일반적인 진통제로 통제하기 어려울 수 있습니다. 통증이 심하거나 지속되는 경우 의사와 상담해야 합니다.
둔감: 절개 부위 주변이 둔감해질 수 있으며, 이는 일반적으로 일시적이지만 영구적인 경우도 있습니다.
※저의 경우 절개 부위 피부에 멍~한 느낌, 내 것인데 내 것이 아닌 느낌이 아직 있습니다. 약간 지리지리 한 감각도 느껴지고 있습니다.

흔하지 않은 위험 증상
신경 손상: 수술 중 신경이 손상될 수 있으며, 이는 무감각, 저림, 근력 약화를 초래할 수 있습니다. 신경 손상이 발생하면 일상생활에 지장을 줄 수 있습니다.
혈전 형성: 수술 후 혈전이 형성되어 깊은 정맥혈전증(DVT)이나 폐색색전증(PE)을 유발할 수 있습니다. DVT의 증상에는 다리 통증, 붓기, 발적이 포함되며, PE의 증상에는 숨 가쁨, 가슴 통증, 기침 등이 있습니다.
고관절염: 수술 후 무릎 관절염이 발병하거나 악화될 수 있습니다. 이는 추가적인 치료나 수술이 필요할 수 있습니다.
마취 합병증: 마취는 일반적으로 안전하지만, 드물게 심각한 합병증이 발생할 수 있습니다. 이러한 합병증에는 심장마비, 뇌졸중, 사망 등이 포함될 수 있습니다.
근위경골절골술 후 회복 과정

수술 후 회복 시간은 개인의 건강 상태와 수술의 유형에 따라 다릅니다. 일반적으로 완전히 회복하는 데 몇 개월이 걸립니다. 이 기간 동안 다음 지침을 따르는 것이 중요합니다. 수술하고 처음 하게 되는 재활 치료가 위에 사진에 보이는 기구로 하는 치료입니다. 본인이 가능한 가동 범위부터 점차 각도를 늘려서 무릎을 굽혀 주는 재활 치료 기구입니다.
※ 저의 경우 2달 후 땅을 밟을 수 있었고, 목발은 5개월간 짚고, 운동 능력과 통증, 가동 범위는 작년 9월 말에 수술하고 9개월을 지나고 있는 현재 90% 회복이 된 거 같습니다.
약물 복용: 통증과 붓기를 완화하기 위해 약물을 복용합니다.
물리치료: 무릎 기능을 회복하기 위해 물리치료를 받습니다.
감염 관리: 감염 징후가 나타나면 최대한 빨리 병원에 내원해서 진료를 받아야 합니다.
통증 관리: 통증이 심하거나 지속되는 경우 의사에게 상담합니다.
혈전 예방: 다리 통증, 붓기, 발적 등이 나타나면 최대한 빨리 병원에 내원해서 진료를 받아야 합니다.
※ 저의 경우 약을 매일 먹고 있진 않지만, 많이 움직이고 한 날에 경우 다리가 붓고 통증이 아직 있어서 소염진통제(아플 때만)와 무릎 연골 영양제(오전, 오후)를 상시 복용하고 있습니다.
※10월경 뼈에 고정된 핀 제거 예정이고, 하루만 입원해서 제거하고 퇴원한다고 안내받았습니다.
근위경골절골술 후 재활 시 도움이 되는 운동법
수술 후 재활은 무릎의 기능을 회복하고 회복 속도를 높이는 데 중요합니다. 다음은 도움이 되는 몇 가지 운동법입니다:
다리 올리기 운동: 누워서 수술받지 않은 다리로 무릎을 구부리고, 수술받은 다리는 곧게 펴서 천천히 들어 올립니다. 이 운동은 허벅지 근육을 강화하는 데 도움이 됩니다.( 처음 하게 되는 운동)
무릎 굽히기 운동: 앉은 상태에서 수술받은 다리를 천천히 굽혔다 펴는 운동입니다. 무릎의 유연성을 향상하는 데 효과적입니다.(무릎을 가슴 쪽으로 끌어안듯 당겨준다는 느낌으로 하는 운동)
발목 펌프 운동: 앉거나 누운 상태에서 발목을 위아래로 움직이는 운동입니다. 혈액 순환을 도와 혈전 형성을 예방합니다.
(처음부터 하는 운동, 병원에 따라 수술 직후 에어 다리 마사지기로 종아리 마사지해 줌-혈전예방)
힐 슬라이드 운동: 바닥에 앉아 수술받은 다리를 천천히 구부리고 펴는 운동입니다. 무릎 관절의 운동 범위를 증가시킵니다.(중기)
의자에서 일어서기: 의자에 앉았다 일어서는 운동입니다. 이 운동은 일상생활에서 무릎을 사용하는 방법을 회복하는 데 도움이 됩니다. (후기운동)
수술 전후로 위험을 줄이는 방법
수술 전 흡연 중단: 흡연은 혈액 순환을 방해하고 감염 위험을 증가시킵니다.
체중 감량: 과체중이나 비만인 경우 합병증 위험이 증가합니다.
만성 질환 관리: 당뇨병 등 만성 질환을 잘 관리해야 합니다.
약물 정보 제공: 모든 약물 복용을 의사에게 알립니다.
수술 후 의사의 지침 준수: 상처 관리, 약 복용, 물리치료 등을 철저히 따릅니다.
감염 징후 확인: 발열, 붉어짐, 붓기 등의 감염 징후를 주의합니다.
통증 관리: 통증이 심하거나 지속되는 경우 의사에게 상담합니다.
혈전 예방: 다리 통증, 붓기, 발적 등이 나타나면 최대한 빨리 진료를 받아야 합니다.
신경 손상 주의: 무감각, 저림, 근력 약화가 나타나면 의사에게 연락합니다.
근위경골절골술은 대부분의 사람들에게 안전하고 효과적인 수술이지만, 위험이 따를 수 있습니다. 수술 전, 의사와 상담하여 모든 위험과 이점을 충분히 논의하는 것이 필요합니다. 무릎 관절염으로 인한 통증과 변형에서 벗어나고 싶으신가요? 근위경골절골술이 당신의 무릎 건강을 회복시키는 데 도움이 될 수 있습니다. 자세한 정보와 개인 맞춤형 상담을 원하신다면, 가까운 병원을 방문하여 전문가와 상의해 보세요.